My Wealthy Affiliate Story-with a slight detour.
I JOINED WA IN SEPTEMBER OF 2016.
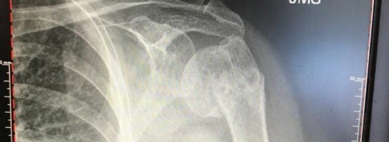
I created 3 websites and was making some good progress. Then, in May of last year, I fell while on vacation with my sister, Kirsten, in Puerto Vallarta, Mexico and broke my Humerus Bone in two with several fractures around my left arm and mostly in my shoulder. You can see in the picture where it is disconnected from my shoulder!

WHY ME?!
This happened only 3 hours into my trip on the third floor of our suite (the jacuzzi room on the roof). I wasn't able to go to the hospital for 2 days! On Sunday, when I arrived at the Hospital San Javier Nuevo Vallarta, the doctors were amazing and so brilliant--even more so than at home! My main doctor rode up on a motorcycle, taking his helmet off as he approached me! Ha ha!--(After all, it was Sunday, and his day off--he was on call.) A quite handsome Mexican named Dr. Pablo.
I got top notch care and made some great friends! They reset my arm---OUCH!---took x-rays and set my left arm in a sling.

IT WASN'T A TOTAL LOSS.
I spend the next 5 days in bed or in a wheelchair (I couldn't walk that much due to the pain and heavy pain killers) but, was constantly catered to! I had some great Spanish hotel guys wheeling me around the grounds all week! That was fun! ---All and all, we had a wonderful time!
View from our terrace overlooking the resort.

THANK YOU, Grand Velas Riviera Nayarit!
Before we left, the Consierge arranged to meet with us. As requested, we gave him all our receipts and the resort reimbursed us for all the hospital and medical expenses! The hospital charges alone were over $16,200! The medication at the Pharmacy totaled over $6000! Wow! Drugs are expensive! lol
Sunset view from our balcony.

The Grand Velas Riviera Nayarit Hotel
Sunset over the ocean.
French restaurant at the resort. It was quite expensive, but free to us!
This photo is where it happened--walking to the table on the right! Ugh!
YAYYY, HEADING HOME!
When it was time to head home, the final expense insurance company my sister works for arranged for a wheelchair at each airport, with a porter wheeling me to each gate! We boarded first before anyone else, and had special seats on the planes! I should do this more often! ONLY KIDDING! LOL!
WE DIDN'T SPEND A DIME!
So, we spent no money on the trip other than a few souvenirs. Being the top salesperson in the country with the company she works for, my sister always gets the royal treatment wherever we go! It's so fun!
HEAVEN ON EARTH!
She earns 2 trips a year, all expenses paid, at private 5 star hotels (mostly at the Ritz Carlton)--with a private suite on our own private floor with a private beach! ----and we even get a resort credit of $3,000 to spend while there at the restaurants, bars, and for beach service! (We never end up spending all of the money, though, haha!)
I'M BLESSED!
Anyway, she always takes me on one of her trips! We've been to Grand Cayman Island, ARUBA, Cancun and Puerto Vallarta, Mexico. I feeled so blessed to be able to have this bonding time each year with my awesome sister!
GOOD BYE, FOR NOW, WA.
At any rate, I was forced to put WA on hold during my 5 months of physical therapy. The doctors had given me a choice of putting screws and pins in my shoulder so that I could function somewhat normally when healed, with the downfall of arthritis over time.
ABSOLUTELY NOT! NO WAY!
However, there was no way I wanted that! So, I chose to heal naturally in just a sling. It was a painful journey, and one I look back on as a miracle.---It could have been much worse, as it was inches from my spine and back. Plus, maybe if this experience hadn't happened, something else much worse would have down the road. Timing is a huge part of life! Everything happens for a reason!
WHAT? NO WAY! THAT'S IMPOSSIBLE!
On my last visit to the medical center, my doctor was baffled at my progress. He couldn't bring himself to believe how far I could move my arm over my head! He said there was no medical explanation for it--only that it was, as he called it--"a true miracle!" My determined mindset and faith saw my healing through! Plus, I was bound and determined to get back on the golf course and maintain my swing!
BACK TO WEALTHY AFFILIATE!---FINALLY!
So, I re-registered at WA in September of 2017, a year after I began--- with a slight detour---and you know what? My sites were instantly restored---and the rest is history! Quick work by SiteSupport!
We are off to ARUBA again in a couple of weeks, and I shall definitely watch my every step!
So, my dear, sweet comrads, anything is possible if and when we have the right positive mentality---with determination, motivation, inspiration--and a little bit of faith to see it through. We can overcome ANY obstacles in our way! I am living proof!
YOU ARE HAPPY!
YOU ARE HEALTHY!
YOU ARE A SHINING EXAMPLE OF SUCCESS!
YOU HAVE WISDOM!
YOU ARE KIND!
YOU HAVE SPECIAL CAPABILITIES!
YOU ARE AMAZING!
YOU ARE BEAUTIFUL!---
AND YOU ARE YOU!
PLEASE LIKE AND SHARE THIS TO SPREAD THE LOVE!
Erin :)!
Join FREE & Launch Your Business!
Exclusive Bonus - Offer Ends at Midnight Today
00
Hours
:
00
Minutes
:
00
Seconds
2,000 AI Credits Worth $10 USD
Build a Logo + Website That Attracts Customers
400 Credits
Discover Hot Niches with AI Market Research
100 Credits
Create SEO Content That Ranks & Converts
800 Credits
Find Affiliate Offers Up to $500/Sale
10 Credits
Access a Community of 2.9M+ Members
Recent Comments
171
Hey Erin, wow! I'm glad you're tough and always positive minded. Faith conquers everything.
I have 4 sisters... ummmm I need to talk to at least one of them to take me on a trip with them. On the other hand, they will probably make me carry their backpacks for them.
Thank you for always been so positive and encouraging.
Monica
Your words are so sweet, Monica. Ha ha about your sisters. I only have one sibling and we are so connected and alike. You are also blessed to have 4! My fiance is the oldest of 9! 6 girls, 3 boys!
Wow... he comes from a big family... my husband also came from a family of 9, 5 boys and 4 girls. Our family reunions were around 300 from different parts of the states and Canada.
I am close to all of my sisters but I think I am adopted. They are amazingly artistic and musically talented and I'm not...lol!
You don't give yourself enough credit, my dear! You have it inside of you to be all those things and more! xoxo
Tony has a huge Italian family--it kind of makes up for mine. My Mother had 2 siblings and my Dad was an only child. My sister has one son.
That is a great story Erin! Except of course having to be hurt in story)
I love hearing other people's stories and seeing what results from them! In a dog eat dog mentality some people have, it's almost like they are in competition with everyone else.
Sharing personal, intimate details creates transparency and a feeling of friendship and community! Great job, love it!
Mike
Wow, thanks, Mike! I paused in contemplation while deciding to publish it. I didn't know if it were too personal. Especially posting my x-ray. But, I'm glad you approve that it was a good idea. Thanks, my good friend! :)!
Dearest Erin!
Thank you so very much for sharing your personal journey with us all here at WA!
You are an inspiration and I feel very lucky to have you as a WA Friend and Colleague!
Dr Barb
PS What Wonderful Company does your blessed hardworking sister work for? LOLOL!
PPS You and your sister are obviously genetically geniuses and hard working Scottish Lassies
Thanks, Dr. Barb! You've been a big part of my journey inside and out of WA. I thank you for that!
She works for two companies doing the same thing and is top in both! Love your reply!
I ruptured my quad falling in a Delta jet coming into Austin from Shanghai. Delta offered to take me to the hospital, but, stupid me, said I wanted to go to my wife, who was a Chinese traditional doctor. Well she acupunctured me, burnt me, and all kinds of weird things to no avail. I saw a sport medicine doctor, who couldn't find anything after 12 x-rays. Finally saw an orthopedic who said I'd torn my quad, and it was too late to do anything.
I found out my wife was in the "happy ending" massage business, so left her. I then fell off a bus and broke my knee. In the hospital, they discovered I needed my hip replaced.
After months in a nursing home, and in a government-subsidized studio, I am hitting the road to work on my new blog www.cheap-camping with WA. I see a bright future. Glad you are doing fine!
Dear Bruce,
I am so very sorry to hear that you did not receive the care that you needed in a timely fashion!
Even moreso, the universe hit you with a major hurdle with a "betraying" spouse. How healthy of you to remove yourself from the toxicity of mis-truths!
Wow -the triumverate -the quad and the knee and the hip! You were sure getting "beaten up" to slow you down to receive the proper care you so deserved!
Us Doctors are not all bad - heavy praise for your Orthopod!
I hope now that your life is turning around in your favour!!!
Let your WA Family know if you need help!
Dr Barb from Canada
OMGoodness, Bruce! I should have written this post about YOU! What a rough time of it you had! I hope things are better for you now! Take care!
Awesome Sauce, Erin
I'm very happy that you fully recovered and are able to see the positive through your own struggle.
I'm also glad for me that you were able to get back on the WA horse rather quickly to convey such valuable lessons, because You keep me on my toes :) :)
Thank you for sharing,
Abe
Amen! Yes, you are blessed Erin and with a body with all capabilities to heal itself as long as we feed it pure oxygen and nutitious healing food for body mind and soul! You have a wealthy attitude of gratitude and faith where all miracle gifts are acquired. So happy you refused the screws and pins.
Truly fantastic and blessing to have a sister inviting you along on first class vacations!
After reading this, I no longer feel behind in my training and accomplishments with WA due to also having to take a side road for healing my heart back to normal blood flow .
Wishing you a super blessed vacation!
Suzanne
Thank you, my dear, sweet, Suzanne! I was crying when the doctor suggested those things (can't even say them), but felt better when he gave me the second alternative to heal naturally, (as God intended.) Please know that I'm always praying for you, especially every Tuesday night at my prayer group!
@herinnelson Aaawww I would too as it was disheartening news (I was literally saying please God she was healed naturally) !
Thank you from my soul for the precious gift of prayer!!! A true blessing!! Hugs xo
What a great post. That is amazing. I too before coming to WA I had major surgery. I had a hernia in my chest a had a persistent cough no one knew what was causing it till they had found a hernia and I also had gastro bypass surgery along with it so I had two surgeries in one.
Since the surgery, I found WA in my email box and open it up and joined it. I have no more hernia and lost weight. The miracle with me was no pain whatsoever before, during, or after surgery, that was due to all the prayer that was said in my behalf and I have lost a considerable amount of weight and that is a good thing. And I am feeling fine. And I am working with a great company.
So I understand where you are coming from and best wishes to you and take care and no more falling.
What a wonderful and motivating story of your faith, too, Mary! Sorry you had to go through that, but you are stronger for it, both in body and with your faith! Thank you for sharing it with me, my dear, sweet girl! xoxo
You are very welcome I was showing how my faith and how God is good all the time. :):):) xoxoxoxo
Good Morning Erin,
What a life experience, a great story to show miracles do exist.
I hope you are completely healed by now and your golf swing is also back. If some troubles arrises in the future have a look at stem cell treatment, I am a firm believer that will be the future medicine.
Greetings from the south of Spain, Taetske
Hi, Taetske and happy to connect with you, my dear! I mix stem cell powder daily. It is awesome! I will look into that treatment as well. Thanks! Sending all my best to the south of Spain!!!
Excellent post Erin and yes you are blessed to have a wonderful sister to share these special moments.
But most of all you are blessed to have a great positive mindset that enable you to achieve great recovery against the odds and conquer the world in your own very special way!
Way to go dear!
Very encouraging post - will definitely share =)
Orion
PS: when will we see you without sunglasses? would love to see your eyes...I imagine they are blue? =)
Thanks so much, Orion! Your sweet words made me cry happy tears. :)! They always do.
My sister and I are even closer since my parents are only with us in spirit now. We treasure our times together. The day after we arrive in ARUBA will be my Mother's birthday. We are going to celebrate her life together, birthday cake and all. :)! We'll share a toast and talk about the wonderful times growing up over the years, and I'm sure, shed a few tears. I'm looking forward to the time away to reflect!
My eyes are hazel. haha. I couldn't find a color photo.
See more comments
Join FREE & Launch Your Business!
Exclusive Bonus - Offer Ends at Midnight Today
00
Hours
:
00
Minutes
:
00
Seconds
2,000 AI Credits Worth $10 USD
Build a Logo + Website That Attracts Customers
400 Credits
Discover Hot Niches with AI Market Research
100 Credits
Create SEO Content That Ranks & Converts
800 Credits
Find Affiliate Offers Up to $500/Sale
10 Credits
Access a Community of 2.9M+ Members






What a testimony, Erin. Isn't it wonderful that we can put our trust in the Almighty Father and just know that He will come through for us? I know that you didn't say so in your post but I am good at reading between the lines. :-)
You are a true inspiration. May you have an incredible Mother's day.
Hennie
Hi Hennie! ...and thanks! Yes, I'm sure folks will get my point! Happy Mother's Day to your wife and Mom. Enjoy your day!